small vessel disease symptoms Moderate chronic small vessel ischemic disease

If you are looking for 10 Symptoms and Treatments of Small Vessel Disease - Facty Health you've came to the right page. We have 35 Pics about 10 Symptoms and Treatments of Small Vessel Disease - Facty Health like Small vessel disease, Overview - Small vessel disease - Mayo Clinic and also Small vessel disease. Here you go:

10 Symptoms And Treatments Of Small Vessel Disease - Facty Health

10 Symptoms and Treatments of Small Vessel Disease - Facty Health facty.com

facty vessel

Small Vessel Disease Emotional Causes - YouTube

Small Vessel Disease Emotional Causes - YouTube www.youtube.com

disease vessel small causes

Small Vessel Disease

Small vessel disease www.omicsonline.org

disease small vessel heart

Small Vessel Disease

Small vessel disease www.omicsonline.org

disease vessel small

Small Vessel Disease

Small vessel disease www.omicsonline.org

disease vein small vessel diseases stages leg stage symptoms discoloration skin legs causes

Cerebral Small Vessel Disease | Symptoms, Diagnosis, Advice And More

Cerebral Small Vessel Disease | Symptoms, Diagnosis, Advice and More pure-medical.co.uk

Small Vessel Disease - Symptoms And Causes (met Afbeeldingen)

Small vessel disease - Symptoms and causes (met afbeeldingen) www.pinterest.com

ventricular tachycardia carpal mayoclinic dementia migraine adrenal hyperplasia congenital kidney disorders disorder cholesterol biliary artery renal stenosis chronic

Small Vessel Disease Of The Brain Linked To Memory Loss

Small vessel disease of the brain linked to memory loss www.belmarrahealth.com

cerebellum bloodvessels chirurgia linked malattie vascolare vessels orthogonal lateral

Small Vessel Disease - Angina - Symptoms | Familydoctor.org

Small Vessel Disease - Angina - Symptoms | familydoctor.org familydoctor.org

small vessel disease blood symptoms familydoctor

Small Vessel Disease

Small vessel disease www.omicsonline.org

disease small vessel symptoms matter brain common treatment

Medivisuals Small Vessel Disease Medical Illustration

Medivisuals Small Vessel Disease Medical Illustration medivisuals1.com

vessel disease small 02x medivisuals1

Small Vessel Disease

Small vessel disease www.omicsonline.org

vessel disease small

Small Vessel Disease

Small vessel disease www.omicsonline.org

vessel disease small symptoms

Cerebral Small Vessel Disease Symptoms - Sharedoc

Cerebral Small Vessel Disease Symptoms - sharedoc sharedocnow.blogspot.com

Small Vessel Disease

Small vessel disease www.omicsonline.org

disease vessel small

Small Vessel Disease

Small vessel disease www.omicsonline.org

Cerebral Small Vessel Disease (CSVD): Symptoms And Treatment

Cerebral Small Vessel Disease (CSVD): Symptoms and Treatment geriatricacademy.com

Small Vessel Disease

Small vessel disease www.omicsonline.org

disease small vessel cerebral symptoms vessels

Small Vessel Disease

Small vessel disease www.omicsonline.org

disease vessel small

Small Vessel Disease

Small vessel disease www.omicsonline.org

disease brain normal sclerosis multiple small vessel mri scans effects complex

Overview - Small Vessel Disease - Mayo Clinic

Overview - Small vessel disease - Mayo Clinic www.mayoclinic.org

disease small vessel mayo clinic

Small Vessel Disease

Small vessel disease www.omicsonline.org

disease small vessel

Small Vessel Disease Symptoms Causes Treatment - Yesdoct

Small Vessel Disease Symptoms Causes Treatment - Yesdoct www.yesdoct.com

disease treatment

A Small Vessel Stroke Is A Type Of Stroke That Causes Brain Damage To A

A small vessel stroke is a type of stroke that causes brain damage to a www.pinterest.com

cerebral arteries capsule internal strokes

Small Vessel Disease

Small vessel disease www.omicsonline.org

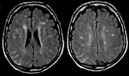
Moderate Chronic Small Vessel Ischemic Disease - Pregnancy Informations

Moderate Chronic Small Vessel Ischemic Disease - Pregnancy Informations pregnancyinfouk.blogspot.com

vessel mri ischemic progression moderate

Small Vessel Disease | Israel| PDF | PPT| Case Reports | Symptoms

Small vessel disease | Israel| PDF | PPT| Case Reports | Symptoms www.omicsonline.org

disease vessel small

Small Vessel Disease

Small vessel disease www.omicsonline.org

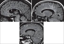
disease vessel small syphilis brain mri neurosyphilis bieber fever bad case symptoms determined

Small Vessel Disease: Evolving Concept

Small vessel disease: Evolving concept www.slideshare.net

evolving stroke ischemic

Small Vessel Disease | Italy| PDF | PPT| Case Reports | Symptoms

Small vessel disease | Italy| PDF | PPT| Case Reports | Symptoms www.omicsonline.org

disease vessel small

Small Vessel Disease

Small vessel disease www.omicsonline.org

disease small vessel

Small Vessel Disease

Small vessel disease www.omicsonline.org

disease small vessel

Small Vessel Disease

Small vessel disease www.omicsonline.org

disease vessel small

Small Vessel Disease

Small vessel disease www.omicsonline.org

Small Vessel Disease

Small vessel disease www.omicsonline.org

disease vessel small treatment

Vessel mri ischemic progression moderate. Disease small vessel cerebral symptoms vessels. Disease small vessel mayo clinic


Subscribe to receive free email updates:

0 Response to "small vessel disease symptoms Moderate chronic small vessel ischemic disease"

Posting Komentar